地球资源数据云——数据资源详情
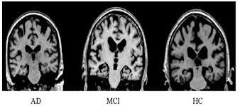
阿尔茨海默病 MRI 预处理数据集 (128 x 128) 数据是从多个网站/医院/公共存储库收集的。 该数据集由预处理的 MRI(磁共振成像)图像组成。 所有图像的大小均调整为 128 x 128 像素。 该数据集有四类图像。 该数据集总共包含 6400 张 MRI 图像。 类别 - 1:轻度痴呆(896 张图片) 类别 - 2:中度痴呆(64 张图片) 类别 - 3:非痴呆(3200 张图片) 类别 - 4:极轻度痴呆(2240 张图片)

阿尔茨海默病 MRI 预处理数据集 (128 x 128)
数据是从多个网站/医院/公共存储库收集的。
该数据集由预处理的 MRI(磁共振成像)图像组成。
所有图像的大小均调整为 128 x 128 像素。
该数据集有四类图像。
该数据集总共包含 6400 张 MRI 图像。
类别 - 1:轻度痴呆(896 张图片)
类别 - 2:中度痴呆(64 张图片)
类别 - 3:非痴呆(3200 张图片)
类别 - 4:极轻度痴呆(2240 张图片)